İranlı şüphelinin mide ve bağırsağından uyuşturucu çıktı

1 просмотров 10.10.2025 00:00:44

Описание

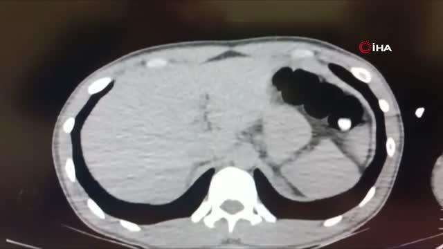
**SPOT:** Kayseri’de yakalanan İranlı şüphelinin mide ve bağırsaklarından kapsül içinde uyuşturucu çıktı. Hastanede temizlenen şüpheli, tedavi sonrası gözaltına alındı.

Комментарии

Теги:
İranlı, şüphelinin, mide, bağırsağından, uyuşturucu, çıktı