Bağırsağından 47 paket uyuşturucu çıktı 'haberim yok' dedi

7 просмотров 21.02.2020 00:01:47

Описание

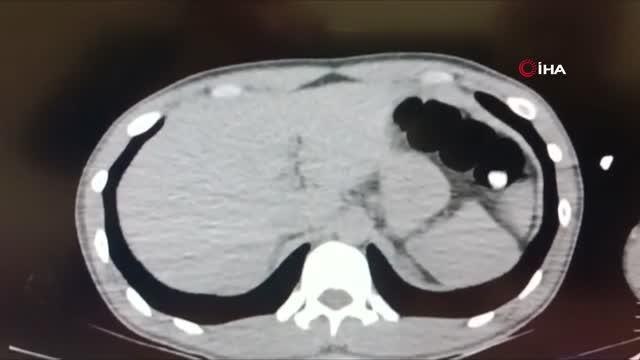
Zanlının bağırsak filmi -Filmde bağırsaklarında yabancı cismin belli olması -Bağırsaklarından çıkanların görüntüsü -Zanlının emniyetten çıkartılması -Adliyeye götürülmesi ( ADANA ) Bağırsağından 47 paket uyuşturucu çıktı haberim yok dedi- Adana'da yakalanan İran uyruklu bir şahsın çekilen tomografisinde bağırsağında 47 paket uyuşturucu olduğu tespit edilip ilaç yöntemiyle 5 gün sonra çıkarıldı- Bağırsağından 116 gram metanfetamin, 104 gram eroin ve 107 gram afyon sakızı çıkan zanlının Van'da beni uyutmuşlardı o zaman koymuş olmalılar haberim yok dediği öğrenildi ADANA - Adana'da yakalanan İran uyruklu bir şahsın çekilen tomografisinde bağırsağında 47 paket uyuşturucu olduğu tespit edilip ilaç yöntemiyle 5 gün sonra çıkarıldı. Zanlınını, Van'da beni uyutmuşlardı o zaman koymuş olmalılar haberim yok demesi dikkat çekti. Adana ve Van Emniyet Müdürlüğü Narkotik Suçlarla Mücadele Şube Müdürlüğü ekiplerinin ortak çalışmasında, İran'dan Van üzerinden Türkiye'ye giriş yapan ve uçakla Adana'ya giden Faramarz Tayefehrostami (52) isimli İran uyruklu şahsın uyuşturucu sevkıyatı yaptığı bilgisine ulaşıldı. Bunun üzerine Adana polisi havalimanında zanlıyı beklemeye başladı. Van-Adana uçağı havalimanına iniş yapınca zanlı polis tarafından gözaltına alındı. Zanlı emniyete getirilerek sorguya alındı. Polis yaptığı bagaj ve üst aramasında uyuşturucuya rastlamadı. Bunun üzerine polis zanlının uyuşturucu yutma yöntemiyle taşıyacağını düşünerek zanlıya bu yöntemi kullanıp kullanmadığını sordu ancak zanlı bunu inkar etti. Polis bunun üzerine savcılıktan alınan izinle zanlıyı Çukurova Üniversitesi Tıp Fakültesi Balcalı Hastanesi Gastroenteroloji Bölümüne götürdü. Burada zanlının bağırsak tomografisi çekildi. Zanlının bağırsaklarında serçe parmağı büyüklüğünde yabancı cisimler olduğu tespit edildi. Buna rağmen zanlı uyuşturucu olmadığını ileri sürmeye devam etti. Doktorlar zanlıya özel bir ilaç vererek bağırsaklarında yabancı cisimlerin tuvalet yoluyla çıkmasını sağladı. 5 günün sonunda zanlının bağırsaklarından 4 pakette 116 gram metamfetamin, 21 pakette 104 gram eroin, 22 pakette 107 gram afyon sakızı çıktı. Zanlının uyuşturucular çıktıktan sonra ifade değiştirip, Van'da beni uyutmuşlardı o zaman koymuş olabilirler ne yaptıklarını bilmiyorum benim haberim yok dediği öğrenildi. Zanlı ifadesi alındıktan sonra adliyeye sevk edildi. Adana'da 21 Aralık 2019 günü de yine havalimanında, Van'dan gelen İran uyruklu Seddigh Raşhıdıtavana (58) isimli şahsın bağırsaklarından 49 pakette 765 gram eroin çıkmıştı. (FKE- beyazgazete.com/video/webtv/guncel-1/bagirsagindan-47-paket-uyusturucu-cikti-haberim-yok-dedi-811217.html</a>

Комментарии

Теги:
Bağırsağından, paket, uyuşturucu, çıktı, haberim, dedi