Orthodontist Aurora CO New Smiles July 2011

9 просмотров 05.08.2011 00:01:34

Описание

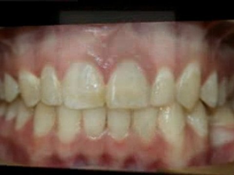
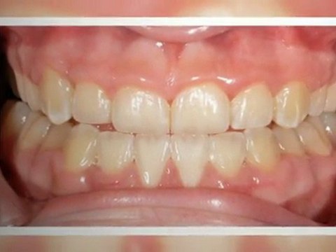
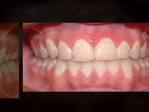
grindoc.com/meet-the-orthodontist.php Your Aurora orthodontist will help you get the best smile in the shortest amount of time possible which means Munholland Orthodontics is the place for you. Sign up for your free consultation to get started on your new smile today.

Комментарии

Теги:
Orthodontist, Aurora, Smiles, July, 2011