İran uyruklu 5 şüphelinin vücudundan 683 kapsül uyuşturucu çıktı

3 просмотров 15.09.2022 00:00:53

Описание

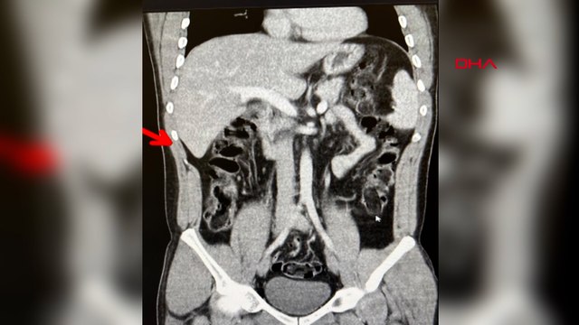
Erzurum'da düzenlenen operasyonda, vücutlarından 6 kilo 955 gram ağırlığında 683 kapsül uyuşturucu çıkan İran uyruklu 5 zanlı tutuklandı. İl Emniyet Müdürlüğü Narkotik Suçlarla Mücadele Şubesi ekipleri, batı illerine uyuşturucu nakli yapan kişi ve araçlara yönelik çalışmaları kapsamında Erzurum-Erzincan kara yolunda uygulama gerçekleştirdi. Bu çerçevede bir otomobilde durumlarından şüphelenilen ve araçlarında yapılan aramada çantalarından tokluk hissi veren ve bağırsak temizleyici ilaçlar çıkan İran uyruklu Mehdı B, Mılad F. ve Sıraus G. gözaltına alınarak hastaneye götürüldü.Çekilen röntgen filmlerinde şüphelilerin vücutlarında 62 kapsül eroin ve 210 kapsül afyon sakızı olduğu tespit edildi.

Комментарии

Теги:
İran, uyruklu, şüphelinin, vücudundan, kapsül, uyuşturucu, çıktı