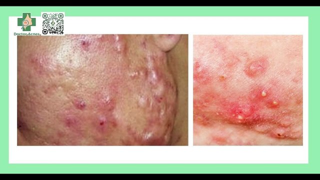
Bí quyết trị mụn và mun đen đầu hiệu quả 100% không tốn kém

21 просмотров 18.08.2015 00:04:25

Описание

Bí quyết trị mụn và mun đen đầu hiệu quả 100% không tốn kém

Комментарии

Теги:
quyết, hiệu, không