Chison Q9 Short Introduction / Buy Color Doppler Ultrasounds

17 просмотров 25.01.2015 00:06:59

Описание

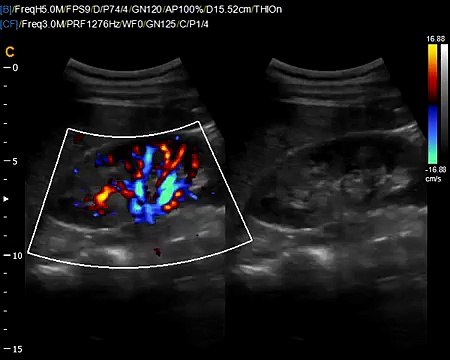
Features and demonstration of the Chison Q9 ultrasound. Buy color doppler ultrasounds from KeeboMed today! Visit: keebomed.com/collections/color-doppler-ultrasounds

Комментарии

Теги:
Chison, Short, Introduction, Color, Doppler, Ultrasounds