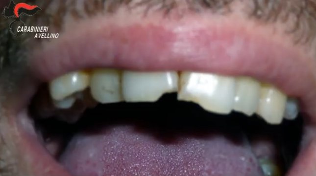
Torre Annunziata (NA) - Truffe assicurative 16 arresti (03.12.14)

14 просмотров 03.12.2014 00:00:36

Описание

pupia.tv - Torre Annunziata (NA) - Truffe assicurative 16 arresti (03.12.14)

Комментарии

Теги:
Torre, Annunziata, Truffe, assicurative, arresti